A equipa médica chefiada pelo cirurgião ortopédico João Paulo Freitas, natural do Louriçal, voltou a realizar a realizar mais um procedimento inédito nos Hospitais da Universidade de Coimbra (Unidade Local de Saúde de Coimbra).

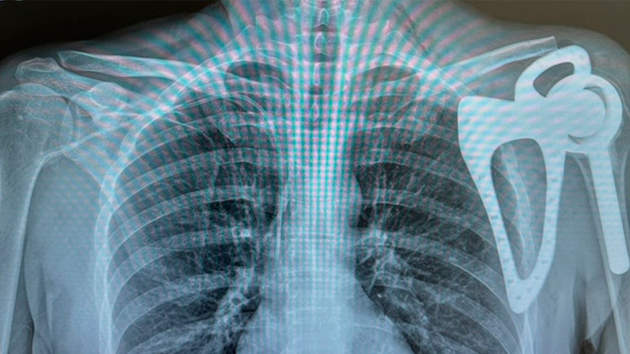
João Paulo Freitas e a sua equipa realizaram uma escapulectomia total (procedimento cirúrgico no qual a omoplata é completamente removida) e a reconstrução da omoplata e da articulação do ombro esquerdo de um homem de 48 anos com um tumor ósseo na omoplata.
A intervenção foi realizada com recurso a uma prótese custom made de omoplata total, já utilizada noutros países, mas aplicada pela primeira vez em Portugal, revela a MBA Surgical Empowerment, empresa responsável pelo fabrico de materiais para uso médico.
O paciente encontra-se a recuperar favoravelmente.


*Notícia desenvolvida na edição impressa de 11 de Setembro

































![OPINIÃO | O bullying social e o Presidente dos Bombeiros Voluntários de Pombal [por Raul Testa]](https://www.pombaljornal.pt/wp-content/uploads/2023/08/raul-testa-100x70.jpg)







